Utilizamos cookies propias y de terceros para mejorar tu experiencia de usuario. Aceptar Saber más

Lesiones Osteocondrales

¿Qué es?

Las lesiones osteocondrales de tobillo afectan al grueso del cartílago y el hueso subcondral adyacente provocando alteraciones en la normal relación entre las superficies articulares existentes. Diferenciamos dos tipos principalmente: Osteocondritis disecante y fracturas osteocondrales.

La osteocondritis disecante es la fractura osteocondral de la cúpula del astrágalo. Se puede clasificar en cuatro etapas.

Causas

El origen de la osteocondritis disecante generalmente no está determinado, probablemente, se explica por enfermedades y traumatismos repetitivos que alteren la vascularización del hueso.

El origen de las fracturas es traumático.

Síntomas

La sintomatología de las lesiones osteocondrales de tobillo, generalmente está dominada por el dolor y los episodios de sensación de bloqueo, con limitación del movimiento.

Diagnóstico

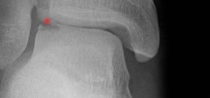
El diagnóstico de las lesiones osteocondrales se basa en la entrevista con el paciente, la exploración clínica y las pruebas de imagen: radiografia y TC o RM fundamentalmente.

Tratamiento

El tratamiento de las lesiones osteocondrales de tobillo dependerá del grado de afectación y el momento del diagnóstico. En fracturas agudas sin desplazamientos, habrá que optar por inmovilización seguida de ejercicios físicos de potenciación muscular.

En casos más graves, se hace necesaria la intervención quirúrgica, que puede ser, en función del caso, de tipo artroscópico.

Tobillo

Lesiones Osteocondrales
Lesiones Osteocondrales

Tobillo

La inestabilidad de tobillo
La inestabilidad de tobillo

Tobillo

Fracturas
Fracturas

Tobillo

Patología Tendinosa
Patología Tendinosa

Tobillo

Patología Degenerativa: Artrosis
Patología Degenerativa: Artrosis

Tobillo

Top of Page